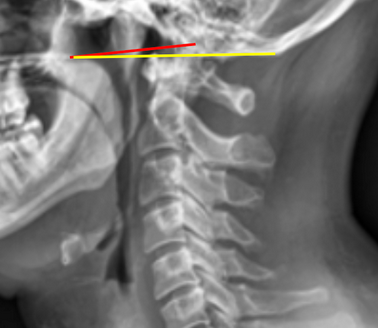
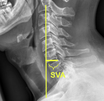
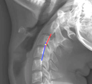
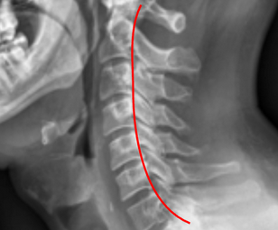
Image Type Cervical Spine X-Ray CT Scan MRI Scan Atlantodental Interval (ADI) Basion-Axial Interval Basion-Dens Interval (BDI) C2 Tilt C2–C7 Coronal Cobb Angle Cervical C2-7 lordosis C2-C7 Translation Chamberlain’s Line / McGregor’s Line Flexion-Extension George’s Line (Posterior Cervical Line) K-Line Interpedicular Distance (IPD) Occiput-C2 Angle Occipital Condyle–C1 Interval (CCI) Posterior Atlantodental Interval (PADI) Power’s ratio Sagittal Canal Diameter Sagittal Vertical Axis (SVA) Spinolaminar line Swischuk Line T1 Slope Torg/Pavlov Canal-to-Body Ratio