Image Type

George’s Line (Posterior Cervical Line)

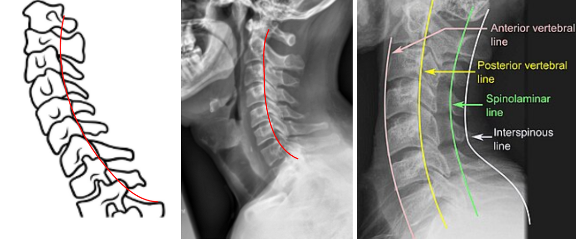
1) Description of Measurement

George’s Line, also known as the Posterior Cervical Line, is a radiographic alignment assessment tool used to evaluate sagittal continuity of the cervical vertebral column.

It is drawn along the posterior vertebral body margins on a lateral cervical spine X-ray, and should form a smooth, continuous curve from C2 through C7.

Disruption or step-off of this line suggests subluxation, dislocation, fracture, or instability—most often due to trauma, degenerative spondylolisthesis, or ligamentous injury.

George’s line is a quick and reliable screening measure for malalignment and instability in the cervical spine.

2) Instructions to Measure

  • Obtain a neutral lateral cervical spine X-ray (as shown in the provided images).

  • Identify the posterior margins of the vertebral bodies from C2 through C7.

  • Using a straight edge or digital line tool, draw a line along the posterior vertebral body margins of each cervical vertebra.

  • Observe the alignment of this line:

    • A smooth, uninterrupted curve indicates normal alignment.

    • Any anterior or posterior displacement (“step-off”) between adjacent vertebrae suggests subluxation or translation.

  • Quantify the displacement by measuring the horizontal distance (in mm) between posterior body margins of adjacent vertebrae at the point of discontinuity.

  • Repeat the assessment in flexion and extension views if dynamic instability is suspected.

3) Normal vs. Pathologic Ranges

  • Normal alignment: continuous, smooth curve; intact alignment and ligamentous stability

  • Mild malalignment: step-off ≤ 2 mm; indicates possible early degenerative or positional changes

  • Abnormal alignment: step-off > 2 mm; suggests subluxation, fracture, or ligamentous injury

  • Pathologic alignment: step-off > 3.5 mm; diagnostic for cervical instability

4) Important References

White AA, Panjabi MM. Clinical Biomechanics of the Spine. 2nd ed. Philadelphia, PA: Lippincott; 1990.

Harris JH Jr, Edeiken-Monroe B. The Radiology of Emergency Medicine. 3rd ed. Baltimore: Williams & Wilkins; 1993.

Swartz EE, Floyd RT, Cendoma M. Cervical spine functional anatomy and the biomechanics of injury due to compressive loading. J Athl Train. 2005;40(3):155–161.

Lee C, Woodring JH, Rogers LF, Kim KS. Sagittal alignment of the cervical spine: significance of the posterior vertebral line. AJR Am J Roentgenol. 1986;146(3):707–714.

5) Other info....

George’s Line serves as a quick screening tool for detecting subtle misalignments that may be missed on casual inspection.

It is best visualized on a true lateral radiograph, ensure the patient’s shoulders are depressed and the head is neutral.

Disruptions can indicate:

  • Acute traumatic instability (e.g., ligamentous injury, fracture-dislocation)

  • Degenerative spondylolisthesis

  • Post-surgical malalignment

Should be assessed in conjunction with posterior spinolaminar line and anterior vertebral body line for a complete evaluation of sagittal integrity.

CT or MRI should follow if a step-off or discontinuity is noted to assess for fracture or ligamentous damage.

X-Ray
CT Scan
MRI Scan