Image Type

Swischuk Line

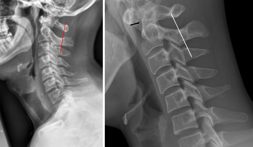
1) Description of Measurement

The Swischuk Line is a radiographic reference line used to distinguish pseudosubluxation (a normal physiologic finding in children) from true cervical spine injury, particularly at the C2–C3 level.

It is drawn along the posterior cortical margins of the spinolaminar junctions of C1 and C3, and the position of the C2 spinolaminar junction is evaluated in relation to this line.

This measurement is most relevant in pediatric cervical trauma and helps prevent misdiagnosis of physiologic anterior translation as fracture-dislocation.

2) Instructions to Measure

  • Obtain a neutral lateral cervical spine X-ray, ensuring clear visualization of C1–C3.

  • Identify the spinolaminar junctions (the point where the lamina meets the base of the spinous process) of C1, C2, and C3.

  • Draw a straight line connecting the spinolaminar junction of C1 to the spinolaminar junction of C3 — this is the Swischuk Line.

  • Locate the spinolaminar junction of C2 and determine its position relative to the Swischuk Line:

    • If the C2 spinolaminar point lies within 1–2 mm of the Swischuk Line → Normal (pseudosubluxation).

    • If the C2 spinolaminar point is more than 2 mm anterior to the line → Abnormal (suggests true subluxation or dislocation).

  • Optional: Evaluate in flexion and extension views (if safe) to confirm reduction of pseudosubluxation in extension.

3) Normal vs. Pathologic Ranges

  • Normal (Pseudosubluxation): < 1-2 mm anterior displacement of C2 spinolaminar point from Swischuk Line; possibly related to physiologic mobility, common in children < 8 years old

  • Abnormal (pathologic subluxation): > 2 mm displacement anterior to Swischuk Line; indicative of true subluxation, ligamentous injury, or fracture

4) Important References

Swischuk LE. Anterior displacement of C2 in children: physiologic or pathologic? A helpful differentiating line. Radiology. 1977;122(3):759–763.

Pang D, Wilberger JE. Spinal cord injury without radiographic abnormality in children. J Neurosurg. 1982;57(1):114–129.

O’Brien WT Jr, Roth D, Houghtaling S. Cervical spine assessment in pediatric trauma: normal anatomy and pitfalls. Radiographics. 2012;32(3):747–761.

Harris JH Jr, Edeiken-Monroe B. The Radiology of Emergency Medicine. 3rd ed. Baltimore: Williams & Wilkins; 1993.

5) Other info....

The Swischuk Line is particularly useful for distinguishing pediatric pseudosubluxation from true traumatic subluxation or dislocation, especially when C2–C3 anterior translation is seen.

Pseudosubluxation of C2 on C3 is normal in up to 20% of children, but the Swischuk Line helps differentiate this benign finding from true instability.

In normal physiologic pseudosubluxation, the alignment corrects when the neck is extended; true subluxation persists regardless of neck position.

This measurement should always be interpreted alongside prevertebral soft tissue thickness, posterior vertebral alignment, and neurological status.

CT or MRI is indicated if abnormal displacement is suspected to confirm ligamentous integrity or fracture.

While primarily used in pediatrics, this line can occasionally aid in evaluating upper cervical trauma in adults for gross misalignment.

X-Ray
CT Scan
MRI Scan