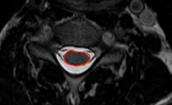
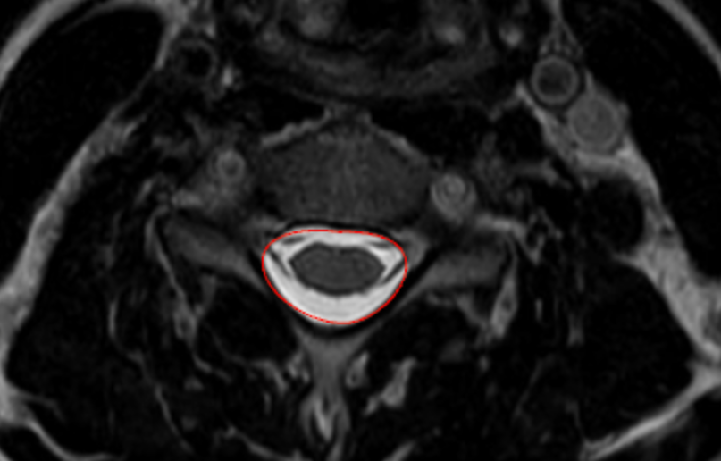
Image Type Cervical Spine X-Ray CT Scan MRI Scan Compression Ratio (AP diameter transverse diameter of cord) Cord Cross-Sectional Area (CSA) Cross-Sectional Canal Area Maximum Spinal Cord Compression Pavlov/Torg (Canal-Body Ratio) Sagittal Canal Diameter Spinal Cord Signal Change - T1 Hypointensity Spinal Cord Signal Change - T2 Hyperintensity (+ number of levels)