Image Type

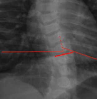
Rib-Vertebra Angle Difference (RVAD)
Lipoma or Dermal Sinus Tract
Conus Medullaris Level and Filum Terminale Thickness (Tethered Cord)
Block Vertebra Assessment (fusion length and canal dimensions)
Hemivertebra Morphometry (wedge angle, segmentation)
Chiari Malformation
X-Ray
CT Scan
MRI Scan

Full Length Spine

Diastematomyelia
Syringomyelia